칼럼 무지외반증 원인 및 치료, 수술
페이지 정보
본문

단일한 원인에 의해 발생한 변형이 아니라 환자마다 제각기 다른 다양한 병인에 의해 발생 및 진행하 는 복합적인 병적 상태이며 다음 3가지 요건이 충족되어야 합니다.
1. 족무지의 각변형
2. 제1중족골 두의 내측부위의 비대
3. 제1중족 족지 관절의 내측 점액낭의 염증과 아탈구(불완전탈구) 동반된 상태
무지외반증 증상
신발 착용 시 두드러지는 내측 돌출부(medial eminence) 통증이 가장 대표적인 증상이며 이외에도 제2중족 골두 아래의 굳은살 및 통증 등도 동반되어 나타납니다.진행될 경우 2,3,4,5 족지의 변형도 같이 동반되며 그럴 경우 보행 시 심한 통증이 특징적입니다.
무지외반증 원인
내재적인 요인으로 선천성 내반 제1중족골, 제1근위 중족골의 외측 편위, 중족골 간 각이 증가된 경 우 등이 있으며 특히 가족력이 있을 수 있으며 대체로 모계 유전되는 경향이 많습니다.외재적인 요인으로 앞이 뾰족한 신발에 의한 반복적인 외상, 굽이 높은 신, 체중 증가, 쇠약한 내재근 (intrinsic muscle) 등도 원인이 될 수 있습니다.
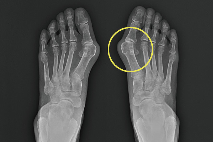
방사성 진단
Standing 전후면, 측면, 사면 사진 촬영하여 족무지 외반각이 15도 이상, 중족골간 각이 9도 이상이면 진단할 수 있습니다.무지외반증 치료
1. 보존적 치료 경증일 경우에는 볼이 넓은 편한 신발을 신거나, 중족골 패드를 대주어 동통을 완화 시킬 수 있습니다. 그 외에도 도수 마사지 치료, 수건을 떨어 뜨려놓고 발가락으로 짚는 연습 등도 도움이 되며 생활 습관 개선(신발 착용) 등도 필요합니다.2. 수술적 치료 동통이나 변형이 심해지거나 일반 신발을 신기가 어려워 사회적 활동에 지장이 있는 경우에 수술적 치료를 고려합니다.
무지외반증 수술 치료 방법

무지외반증은 병인 및 나타나는 형태와 증상 그리고 치료의 방법까지 모두 다양합니다. 수술적 치료에 앞서 발 전체의 변형 및 다른 발가락의 동반 변형 등을 함께 살피고 환자의 정확한 주 증상을 파악하여야 올바른 수술 방법을 선택 할수 있습니다.
환자의 주 증상과 동반된 변형을 해결함으로써 장기간 재발 없이 신발을 신고 일상 생활 및 운동으 로의 복귀가 가능합니다.
